
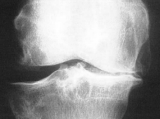
Bei der Arthrose (Bild rechts Kniegelenksarthrose) ist die mechanische Eigenschaft der Gelenkflüssigkeit
erheblich beeinträchtigt.
Diese kann dadurch die Pufferfunktion nicht
mehr erfüllen. Die mechanische Belastung des Gelenkes nimmt zu, der
Knorpel wird überlastet.
In weiterer Folge treten Schmerzen,
Entzündungen und Bewegungseinschränkungen auf.
Die Hyaluronsäure ist eine körpereigene Substanz, die in der Gelenkflüssigkeit und im Gelenkknorpel vorhanden ist. Sie entspricht dem natürlichen Schmier- stoff, den das Gelenk selbst bildet und sorgt zudem für die Ernährung des Gelenkknorpels. Während bei gesunden Gelenken die Eigenproduktion der Hyaluronsäure für eine schmerzfreie und harmonische Gelenkfunktion ausreicht, genügt diese für den erhöhten Bedarf des rauen, arthrotisch veränderten Gelenkes nicht mehr. Die durch die Behandlung zugeführte Hyaluronsäure legt sich nach der Gelenkinjektion wie ein Schutzfilm auf den angegriffenen Knorpel, ähnlich dem Teflonbelag einer Bratpfanne.
Es konnte nachgewiesen
werden, dass die Anwendung von Hyaluronsäure zur Knorpelerholung in
Form einer Verbesserung der Qualität und der Belastbarkeit des
geschädigten Knorpels führt. Die Hyaluronsäurebehandlung bewirkt so
insgesamt eine Verbesserung der Gelenkschmierung und hemmt die
Entzündung. Dieser Effekt tritt relativ rasch ein. Außerdem wird die körpereigene Hyaluronsäure-Produktion angeregt. Der
Schmerz wird für längere Zeit reduziert.
Bei der Behandlung mit künstlich hergestellter Hyaluronsäure verwenden wir moderne Präparate, die ohne tierisches Eiweiß hergestellt und unter hochsterilen Bedingungen verpackt werden. Hiermit können allergische Reaktionen nahezu ausgeschlossen werden. Die Behandlung umfasst je nach Präparat 1 oder 5 Injektionen in das betreffende Gelenk, die im wöchentlichen Abstand durchgeführt werden. Hierunter können bei bis zu 80% gute bis sehr gute Ergebnisse erzielt werden. Prinzipiell ist fast jedes arthrotische Gelenk mit Hyaluronsäure behandelbar. Die Behandlung kann im Abstand von 6-12 Monaten wiederholt werden.
Die Kosten für diese sehr effektive Therapieform werden von den gesetzlichen Krankenkassen in der Regel nicht übernommen und werden daher auch beim gesetzlich versicherten Patienten nach der Gebührenordnung für Ärzte (GOÄ) abgerechnet.
Weitere Informationen zur Arthrosebehandlung finden Sie auch hier.
